![[牙齦]一旦萎縮,就容易[塞牙]、[牙根酸痛],這方法可以幫到你,很簡單!](http://taiwanlikes.itaiwan.net/uploaded_images/82300_0.jpg)
牙齦一旦萎縮,就容易塞牙、牙根酸痛,這方法可以幫到你,很簡單!
![[牙齦]一旦萎縮,就容易[塞牙]、[牙根酸痛],這方法可以幫到你,很簡單!](http://taiwanlikes.itaiwan.net/uploaded_images/82300_1.jpg)
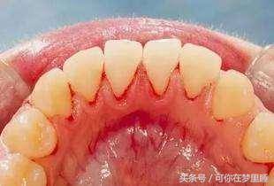
有些人會突然發現自己的牙齒變長,牙縫變大,或感覺齒根開始暴露,牙齒變得容易敏感酸痛,甚至牙齒按上去已經有些鬆動,這些都是牙齦萎縮的症狀。
![[牙齦]一旦萎縮,就容易[塞牙]、[牙根酸痛],這方法可以幫到你,很簡單!](http://taiwanlikes.itaiwan.net/uploaded_images/82300_2.jpg)
很多成年人都有牙齦萎縮的現象,而牙齦萎縮又是導致牙齒根部蛀牙的元兇。
牙齦一旦萎縮會引發什麼症狀?
1、牙齦萎縮後,牙冠會變長,牙骨質暴露,對冷、熱、酸、甜都容易有敏感刺痛的表現。
2、牙縫變大,容易塞牙、牙根菌斑堆積,導致牙根面齲齒。
3、牙齦容易出血、腫脹,牙齦呈深紅或暗紅色、牙齒鬆動和脫落。
![[牙齦]一旦萎縮,就容易[塞牙]、[牙根酸痛],這方法可以幫到你,很簡單!](http://taiwanlikes.itaiwan.net/uploaded_images/82300_3.jpg)
牙齦萎縮的原因是什麼?
1、牙槽骨萎縮,這屬於正常的生理性牙齦萎縮,一般發生在60歲後。
2、鑲牙不當,當烤瓷牙、全瓷牙設計不當時,會傷害到牙齦,刺激導致萎縮。
2、炎性口腔病,比如牙周炎、牙結石、口腔潰瘍、牙齦炎等,都會刺激牙齦導致萎縮。
3、刷牙不正確,包括刷牙方式不正確和牙膏選擇不正確,剛開始沒有明顯症狀,但會刺激到牙齦。
![[牙齦]一旦萎縮,就容易[塞牙]、[牙根酸痛],這方法可以幫到你,很簡單!](http://taiwanlikes.itaiwan.net/uploaded_images/82300_4.jpg)
牙齦萎縮了能自愈嗎?
很抱歉,牙齒的問題可以解決,但牙齦一旦萎縮,就是不可逆的,更無法自愈!所以,當發現有牙齦萎縮的跡象時,就該不要再刺激牙齦,維護好口腔。
預防和控制牙齦萎縮的有效方法有哪些?
1、不用刺激牙齦的牙膏——非離子鹼性牙膏
現在,每天2次刷牙,覺得注意了口腔衛生,但30來歲就開始牙齦萎縮的大有人在,究其原因,大多數是因為市面上不少的牙膏含有月桂醇硫酸酯鈉,這種化學物質清潔力強,泡沫豐富,脫水力和刺激性也強,會刺激牙齦發生微小破裂,導致牙齦慢慢受刺激而提早萎縮。
預防和控制牙齦繼續萎縮建議使用非離子鹼性牙膏,這類牙膏用非離子鹼性成分取代了月桂醇硫酸酯鈉,成分優質也很溫和,清潔力好,對預防口腔炎症和牙齦萎縮都很有幫助。
2、不要橫著刷牙——巴氏刷牙法
不要使用拉鋸式的橫刷法,應該將牙刷毛放在牙齒與牙齦交界處,刷毛指向牙根方向與牙齒表面呈45度角,原位水準顫動,然後順著牙縫豎刷。
![[牙齦]一旦萎縮,就容易[塞牙]、[牙根酸痛],這方法可以幫到你,很簡單!](http://taiwanlikes.itaiwan.net/uploaded_images/82300_5.jpg)
3、定期到口腔科進行檢查
如果已有明顯的牙結石、不大合適的假牙等,都應到醫院口腔科處理,並定期檢查。