牙結石是怎麼形成的?為什麼刷牙刷不掉?
牙結石是怎麼形成的呢?就像人吃五穀雜糧就難免會生病一樣,只要吃東西就難保證不會生牙結石。因為,只要吃東西,食物的細菌就會進入到口腔,在我們的口腔裡生活中無數的有益菌與有害菌,這些菌就是靠食用食物殘渣生活的。只要食物殘渣在口腔縫隙停留超過5分鐘,就會形成牙菌斑(牙結石的幼年體),牙菌斑附著在牙齒上難以被沖走,飯後漱口是解決不了的。然後1到2個小時,牙菌斑就會增厚,為細菌提供更為肥沃的土壤,這樣說起來有點倒胃口啊。這也是為什麼很多口腔專家建議,飯後也要刷牙。牙菌斑接著與食物殘渣混合並在唾液的幫助下鈣化,形成牙結石,然後無限的迴圈,直到堆積厚厚的一層!

需要牙科護理服務
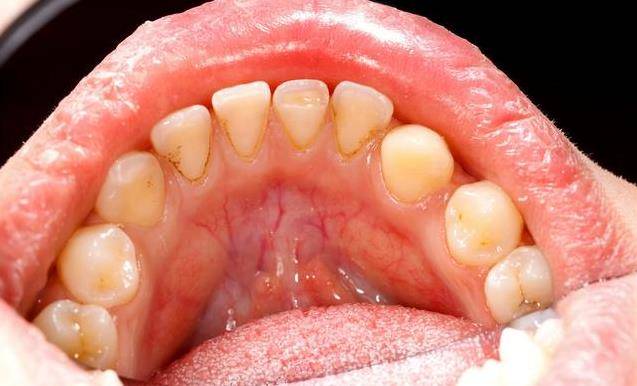
有網友這麼來形容牙結石「一口老牙全靠牙結石撐著,還有說把牙結石摳下來,攆一攆,再聞聞,那酸爽,賊提神!」
滿口的牙結石不止是口臭這麼簡單哦,隨著牙結石堆積到一定厚度,它會壓迫牙齦導致牙齦發炎。

最有效的清除牙結石辦法:洗牙
這是目前最為普標的清除方法了,利用超聲震盪的方法將牙結石清除,再用其他工具將剩餘的不好清除的牙結石清除乾淨。洗牙和刷牙不同,不僅可以將牙齒表面的污垢清潔掉,還能有效清除掉牙菌斑、牙結石和色素,並且還能夠發現一些隱藏較深的齲齒之類的問題。不過應注意洗牙也不要太過頻繁了,每年一次或者半年一次就可以了。

還有一招在家清除:
方法也很簡單,每次刷牙時,在刷牙杯裡盛上清水,加入白醋和食鹽,然後將牙刷放進浸泡一段時間再刷牙,堅持幾次,牙結石就能輕鬆去除啦。或者將檸檬去皮,榨成汁,刷完牙後,用棉簽沾檸檬汁擦每一顆牙齒,來回擦拭個6次左右就好。這個原理和食醋差不多,不僅去牙垢,還能美白牙齒、清除口臭呢。